EJCAP 24(1), Spring 2014

Mast Cell Tumour Advances

Pictograms
reset filter
Myxomatous mitral valve disease (MMVD) and dilated cardiomyopathy (DCM) in dogs, and different forms of cardiomyopathy in cats, may lead to signs of congestive heart failure (CHF). Traditionally,...
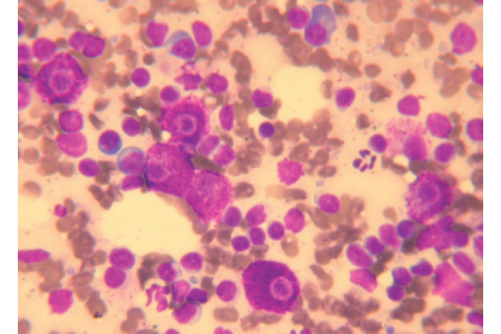
Mast cell tumours (MCTs) are neoplastic proliferations of mast cells. Cutaneous MCTs arise from tissue mast cells in the dermis and subcutaneous tissue. MCTs account for 7-21% of canine skin tumours....
Plumage disorders in parrots represent one of the more common, but also one of the more challenging and frustrating problems that veterinarians dealing with parrots in their daily practice face on a...
Over the last decade, experience was gained with the use of newer human anticonvulsive medications for treating epilepsy in dogs. In addition, a new drug (imepitoin) was introduced on the European...
OHE performed at the time of mammary tumour excision reduced the risk of new tumours by about 50% among dogs with NMT. Survival was not significantly affected. Adjuvant OHE should be considered in...
Anaesthetic arthrography of the shoulder is a simple, safe, and reliable diagnostic test to confirm shoulder joint pain and simultaneously identify a lesion. This procedure may be of particular...
Inflammatory diseases of the central nervous system are common causes of neurological dysfunction in the dog and can be grouped into two broad categories; those of infectious and those of unknown...
Spindle toxins belong to the most potent agents in the fight against cancer as their effect is based on direct interference with the cell cycle. Their main targets are the microtubules, which are...
EJCAP 24(1), Spring 2014