EJCAP 25(1), Spring 2015

Haemorraghic diarhoea: what's going on inside?

Wolfgang Dohne - Secretary of FECAVA

Text from editor.

Pictograms
reset filter
Of the intestinal protozoa of cats, the coccidians Toxoplasma gondii and Cryptosporidium species and the flagellate Giardia species have the most zoonotic risk. It is known that most Cryptosporidium...
Dogs and cats are susceptible to natural influenza virus infections which are transmitted from avianadapted virus reservoirs to cats and avian and equine-adapted virus reservoirs to dogs. Due to the...
Perineal hernia (PH), or the failure of the pelvic diaphragm to support the rectum during defaecation leading to abnormal rectal faecal accumulation is a commonly presented clinical entity in small...
Forty cats with pleural effusion (22 cardiac and 18 non-cardiac) were studied. NT-proBNP concentrations in plasma and pleural fluid were strongly correlated. Plasma (P
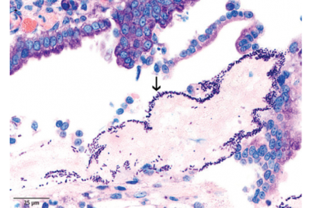
The results of this study demonstrate an apparent association between C. perfringens and the occurrence of acute haemorrhagic diarrhoea. The term “HGE,” which implies the involvement of the...
Every veterinary practice must consistently deliver four outcomes if they wish to be effective and sustainable. These are clinical resolution, client satisfaction, financial resolution and team...
EJCAP 25(1), Spring 2015