EJCAP 25(3), Autumn 2015

Special issue on the care of geriatric cats

Diego Esteban Saltiveri - Guest Editor

I hope this find you well rested after your summer vacations and ready to learn about new concepts in Feline Medicine. This special issue offers a step-by-step path through the most relevant topics in Feline Geriatrics.
It’s been a great pleasure to contact all the authors and find them ready to write their papers, and I’d like to thank them all very much.
The first paper, authored by Sarah Caney, serves as an introductory guide. This issue also provides excellent information about the main conditions in elderly cats: kidney disease, lymphoma, IBD and diabetes mellitus, offering you both practical information but also containing relevant tips on blood pressure measurement and feline behaviour. Regarding behavioural problems in elderly cats there is no doubt that the papers on increased vocalisation and environmental enrichment for cats with OA, will help you to find the right answer to such a common complaint in feline geriatrics.
I would like to end this short editorial quoting Jean Holzworth, a pioneer in Feline Medicine, who started her book as it follows: “Passionate cat lovers are legion, but very few are lucky enough to make cats their life work. I am one of these, and this book is, above all, for cat lovers”.
I hope you will join me with this same feeling after reading this EJCAP Feline Special Issue. Enjoy!

Pictograms
reset filter
Over recent decades, the lifespan of cats has increased dramatically and where it was once considered normal for a domestic shorthair cat to have an expected lifespan of 12-14 years, now 18-20 years...
With evermore cats living to become elderly, age-associated behavioural changes are being seen with increasing frequency. • The behavioural changes reported most commonly are increased...
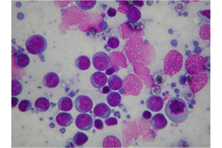
Lymphoma is the most common haematopoietic tumour of cats, and feline retrovirus infection is a known risk factor for the development of lymphoma. Three retroviruses have been identified in domestic...
The home monitoring of diabetic cats is an extremely useful tool with significant benefits for patients, owners and veterinary surgeons. The veterinary surgeon should have a flexible approach towards...
Endocrine hypertension in cats is more prevalent than previously thought. Predominant causes are primary hyperaldosteronism (Conn’s disease), hyperthyroidism and diabetes mellitus. Other endocrine...
Feline chronic kidney disease (CKD) is a common, irreversible and progressive disease. Currently, feline CKD is often diagnosed late in the course of the disease limiting the therapeutic options....
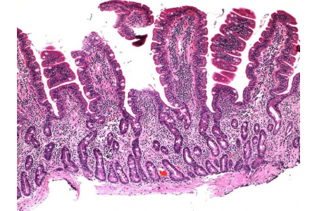
Signs consistent with chronic gastrointestinal disease (e.g. diarrhoea, weight loss, anorexia, vomiting) are very common in cats. While there are many underlying causes of these clinical signs,...
The clinical presentation of osteoarthritis in cats is variable and studies suggest that changes in patterns of behaviour or lifestyle are much more commonly reported than overt lameness. Part of the...
EJCAP 25(3), Autumn 2015
FECAVA News
Dutch FECAVA Director Bob Carrière was elected vice president of the Union of European Veterinary Practitioners (UEVP) for 2015-2017 at the recent general assembly of...
Rabies control: Are we doing enough? How can vets help? These questions will be addressed by Luke Gamble, founder of Worldwide Veterinary Service and of Mission Rabies....
CaroDog is an online tool to promote responsible dog ownership in Europe. It organises workshops and conferences, and coordinates a European working group on...
Exchange travels are not just for students! Interested to visit a veterinary clinic in Barcelona (or Rome or Heidelberg or Prague...) and see some sights while you’re...
Global & European news
Since April 2014, vets in Latvia have observed a sudden increase in megaesophagus and laryngeal paralysis in dogs. There were over 100 confirmed cases by mid June - and...
The Bella Moss Foundation (BMF) has created a free practice hygiene self-audit tool which is available to practices around the world. Designed as a an easy­to­use...
World rabies day is celebrated on 28 September. It builds on previous themes to highlight the ongoing importance of global commitment across sectors to effectively end...
Book reviews
Due to the increased popularity of keeping chickens or other backyard poultry (e.g. ducks, geese, turkeys), companion animal practitioners are increasingly requested to...
The first edition of this book was considered by many to be “the reference manual” for small animal emergency and critical care, and subsequently the second edition...
Immunology is a complex and evolving area in which new knowledge is constantly emerging. Veterinary immunology Principles and Practice, 2nd edition is an excellent tool...
App review
Cat heart interactive makes the complex form, structure and functioning of the heart easily comprehensible and intelligible.
Feline ophthalmology is an essential reference tool for small animal veterinarians and veterinary students alike. It contains over 190 first class, labelled examples of...
Paint for cats is the worlds best painting app... for cats! Entertain your feline patients and their owners in the waiting room and provide them with a printout upon...
Coming up
Rabies control: How can vets help? What are the chances of eradication? How can I recognise the disease and what’s the value of the pet passport? These and other...