EJCAP 26(1), Spring 2016

Danny Holmes - Chair, FECAVA Rabies symposium (FECAVA Director Ireland)
Education is an important part of FECAVA. FECAVA not only directly funds small amounts of CVE in emerging countries like Georgia, Belarus and Armenia, but also organises a Symposium every year on a subject where vets play key roles, often non-clinical. In October 2015 in Barcelona, the topic of the symposium was rabies. Speakers discussed pet passports (Cathy Tourlouse, Belgium), rabies vaccination (Katie Hampson, Scotland), clinical cases in practice (Denis Novak, Serbia) and rabies eradication (Luke Gamble, UK). Three of the talks are presented in this issue.
Luke is a vet in mixed practice in the UK, who wanted to do something about rabies. The disease kills 60,000 people (mainly children) every year, and is 100% preventable and eradicable, simply by vaccinating dogs. So he set up World Veterinary Services and Mission Rabies and so far has successfully vaccinated about 250,000 dogs in Africa and India. As you can imagine, the hurdles to overcome are immense in both education of the public and at local government level, so the figure is testament to Luke's dogged commitment to the cause. Luke constantly needs volunteers so email info@wvs.org.uk to get in touch with his organisation. Any help Luke can get unlocking the doors of OIE and WHO to take on rabies as a worldwide eradication project would be greatly appreciated.
Pictograms
reset filter
Rabies is a fatal zoonosis, mainly transmitted through bites of dogs infected with rabies. The disease occurs in over 150 countries wide, with over one third of victims (25,000) in India, in...
Rabies is one of the most important zoonotic diseases in the world. The disease affects domestic and wild animals, and is spread to people through close contact with infectious material, usually...
Since 2003, the rules to travel within Europe and to travel from a non-EU country to a European country with dogs, cats and ferrets have been harmonised. All details can be found in Regulation (EU)...
In human medicine a disease is considered to be rare if its incidence is one per 2,000 individuals or less. The majority are genetic in origin and only 30% of the thousands that exist are studied. In...
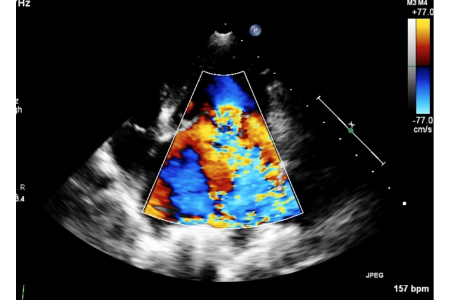
Objectives: To determine whether murmur intensity in small-breed dogs with myxomatous mitral valve disease reflects clinical and echocardiographic disease severity. Methods: Retrospective...
According to the principles of veterinary orthomanual medicine, vertebral misalignments are associated with intervertebral disc disease in dogs. Manual correction of these vertebral misalignments are...
EJCAP 26(1), Spring 2016
FECAVA News
FECAVA is inviting applications for its 2016 Travel Scholarship, an initiative that enables groups of small animal veterinary surgeons from different parts of Europe to...
As you may know, in Latvia has observed a increased incidence of megaesophagus (ME) causing suffering and death in dogs since early 2014. By the end of December 2015...
Should I get a cat or a kitten? What does it cost to keep a cat? How often should I take my cat to the vet? Answers to these and other common questions that future cat...
We look forward to welcoming you to the 22nd FECAVA EuroCongress and the 31st VOEK Annual Meeting in June 2016!
Global & European news
Chronic kidney disease (CKD) is a common, complex and progressive disease that is estimated to affect more than a third of cats over 10 years of age. Affected cats often...
The European Scientific Counsel for Companion Animal Parasites (ESCCAP) [www.esccap.org] has published two modular guides: • Modular Guide Series 1: Worm Control in...
The Vaccination Guidelines Group (VGG) of the World Small Animal Veterinary Association (WSAVA) has updated its vaccination guidelines for veterinarians. The WSAVA's...
To celebrate the World Veterinary Day (WVD) that will take place globally on 30 April 2016, the World Veterinary Association (WVA) and the World Organisation for Animal...
Late 2015, Eurogroup kicked off a major campaign to tackle Europe’s underground and illegal pet trade. Protect Our Pets, which has a dedicated website, is the first...
Book reviews
This new edition (eight years after the 4th edition) has the same structure as the earlier edition with three sections: the methods of diagnosis in canine and feline...
This book is aimed at students and small animal practitioners who need a quick treatment guide when dealing with infectious diseases. It covers the most common...
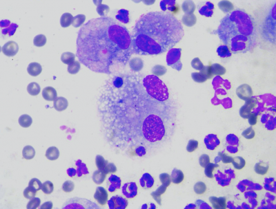
Already in 1988, when the first edition of Avian Hematology and Cytology came out, the book was regarded as a highly useful reference to aid in the cytodiagnosis of...
App review
The VetApp allows veterinarians to reach out to their client base by using an app that has their own brand and name. Clients can then use features like Tap to Call, Tap...
Ophthalmology in dogs is a learning tool for professionals and students with an interest in veterinary ophthalmology. It consists of an interactive 3D anatomic atlas,...
Cat Stress Test is a simple stress assessment tool for vets cat owners, acting as a barometer to evaluate the stress risk level for their cat(s). The app asks questions...
How to...
Podcast of a lecture presented at the 2015 BSAVA congress. A recording of Patrick Kenny speaking at the 2015 BSAVA congress.
Podcast of a lecture presented at the 2015 BSAVA congress. A recording of Emma Scurrell speaking at the 2015 BSAVA congress.